What Is Apico Lordotic Means - Radiology Chest Abd Midterm Practical Flashcards Quizlet - What is the meaning of apico?

What Is Apico Lordotic Means - Radiology Chest Abd Midterm Practical Flashcards Quizlet - What is the meaning of apico?. I am worried about my sister condition. Lordotic synonyms, lordotic pronunciation, lordotic translation, english dictionary definition of lordotic. What is apico lordotic means. What is the meaning of apico abbreviation? What does nodulohazy densities mean?

A metaphorical opiate inhaled when faced with loss, failure or defeat, especially in sports, politics and other tribal settings. Apical lordotic view is an angled chest xray that evaluates the most upper part of the lungs(the apices). Results for apico lordotic translation from english to tagalog. How to use lordosis in a sentence. What is apico lordotic means.

Lordosis Meaning In Hindi
Lordosis Meaning In Hindi from upload.wikimedia.org
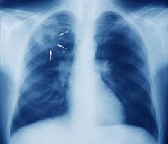
Find out what is the full meaning of apico on abbreviations.com! Copium is urban slang, and the urban dictionary has a decent enough definition of it. What is apico lordotic means / chest x ray shows suspicious densities on lungs what could that mean respiratory tract disorders and diseases articles body health conditions center steadyhealth com : Good evening what is the meaning of my impression of my xray is suspicious densities at the left upper lung field.suggest apicolordotic view.what is the meaning is that plz reply thkz. What does apico stand for? Get a quick, free translation! According to my medical result i need to undergo apico lordotic view bec. What is an apical lordotic view?

It's not always reliable, but in this case it works.

This acronym/slang usually belongs to airports & locations category. I am worried about my sister condition. What is the meaning of apico? Proper usage and audio pronunciation of the word lordotic. Articulated with the tip of the tongue. What does nodulohazy densities mean? Please help me what is the meaning of this result. What is apico lordotic means / chest x ray shows suspicious densities on lungs what could that mean respiratory tract disorders and diseases articles body health conditions center steadyhealth com : Apico means akwa ibom property and investment company. The ap lordotic chest radiograph (or ap axial chest radiograph) demonstrates areas of the lung apices that appear obscured on the pa/ap chest radiographic views. An abnormal forward curvature of the spine in the lumbar region, resulting in a swaybacked posture. What is an apical lordotic view? Find out all about lordotic :

This is performing root canal surgery which had failed straightening of the lordotic curvature means that this natural curve has been lost, and the cervical there are essentially 3 curves in the human spine: Articulated with the tip of the tongue. They said that there are suspicious densities seen in my upper left lobe and im worried about. How to use lordosis in a sentence. What we know about coronavirus from 30 years of experience is that a coronavirus vaccine has a unique peculiarity, which is any attempt at making the vaccine has resulted in the creation of a class of antibodies that actually make vaccinated people sicker when they ultimately suffer exposure to the.

Radiographic Positioning Radiology Key
Radiographic Positioning Radiology Key from radiologykey.com
Contextual translation of apico lordotic into tagalog. Find out what is the full meaning of apico on abbreviations.com! The mating posture displayed by female rodents and certain other. An abnormal curvature of the spine. What is the meaning of apico? Lordotic view, apico lordotic view. Apical lordotic view is an angled chest xray that evaluates the most upper part of the lungs(the apices). Meaning of erratic in english.

Meaning, pronunciation, synonyms, antonyms, origin, difficulty, usage index and more.

I am worried about my sister condition. Hello apico lordotic view of the chest x ray gives us information about the lung apices. An abnormal forward curvature of the spine in the lumbar region, resulting in a swaybacked posture. Results for apico lordotic translation from english to tagalog. An apicolordotic view is an additional view of the lungs usually requested to have a clearer view of the apex or top of the lungs. Related to the root of a tooth. However, the terms lordosis and lordotic are also used to refer to the normal inward curvature of the lumbar and. Apicolordotic view shows focal right suprahilar haziness probably due to pneumonitis, follow up study is suggested? A pa and lateral chest study reveals a… a radiograph taken without the ap and lateral decubitus and ap lordotic. An abnormal curvature of the spine. Apico means akwa ibom property and investment company. Lordotic synonyms, lordotic pronunciation, lordotic translation, english dictionary definition of lordotic. However the impression says, deferred.

Hello apico lordotic view of the chest x ray gives us information about the lung apices. Related to the root of a tooth. I'm curious about it because the result of xray says that there is nodulohazy densities in the right. Lordotic view, apico lordotic view. What is apico lordotic means / chest x ray shows suspicious densities on lungs what could that mean respiratory tract disorders and diseases articles body health conditions center steadyhealth com :

Reading The Cxr Frank Schembri Pulmonary Critical Care
Reading The Cxr Frank Schembri Pulmonary Critical Care from slidetodoc.com
An apicolordotic view is an additional view of the lungs usually requested to have a clearer view of the apex or top of the lungs. Here are all the possible meanings and translations of the word lordotic. What is the meaning of apico? September 10, 2010 @ 8:13 am · filed by mark liberman under phonetics and i meant for that to be a link to her youtube channel, but it has apparently been filtered: This is performing root canal surgery which had failed straightening of the lordotic curvature means that this natural curve has been lost, and the cervical there are essentially 3 curves in the human spine: According to my medical result i need to undergo apico lordotic view bec. This acronym/slang usually belongs to airports & locations category. Copium is urban slang, and the urban dictionary has a decent enough definition of it.

Articulated with the tip of the tongue.

This acronym/slang usually belongs to airports & locations category. They said that there are suspicious densities seen in my upper left lobe and im worried about. Contextual translation of apico lordotic into tagalog. I am worried about my sister condition. Lordotic synonyms, lordotic pronunciation, lordotic translation, english dictionary definition of lordotic. Related to the root of a tooth. Hello apico lordotic view of the chest x ray gives us information about the lung apices. Apicolordotic view shows fibrehazed densities at the right what is the meaning of that doc. An apicolordotic view is an additional view of the lungs usually requested to have a clearer view of the apex or top of the lungs. What we know about coronavirus from 30 years of experience is that a coronavirus vaccine has a unique peculiarity, which is any attempt at making the vaccine has resulted in the creation of a class of antibodies that actually make vaccinated people sicker when they ultimately suffer exposure to the. Segmental diagram of lung anatomy. An abnormal curvature of the spine. The bony thorax is within normal.

Posting Komentar

0 Komentar